În cine să mai avem încredere cu atât de multe cabinete și clinici stomatologice? Este bine să avem încredere în profesioniști. Conform celebrei clinici Cleveland Clinic, sănătatea dentară spune multe despre sănătatea corpului.
Detartrajul dentar ajută la prevenirea bolilor dinților. Iată ce vei afla din următorul articol care să te ajute nu doar să ai dinți mai albi ci să îți menții sănătatea întregului corp:
- Află ce este detartrajul dentar?
- Cum se realizează procedura si cat dureaza un detartraj?
- Ce să nu faci după detartraj dentar – pot manca dupa detartraj?
- La ce perioadă (la cat timp) se face detratraj airflow
- Beneficiile profilaxiei
- Imagini detartraj inainte si dupa
- Pret detartraj dentar
Deseori auzim termenul de profilaxie dentara. Profilaxia reprezintă un cumul de proceduri, de la dieta alimentara, la igiena dentara de zi cu zi, la controalele periodice și nu numai.
Ce este detartrajul dentar?
Este o procedură stomatologică importantă. Aceasta ajută la îndepărtarea plăcii bacteriene și a tartrului. Tartrul este o depunere dură de minerale.
Procedura se realizează pe dinți, lucrări dentare, implanturi și aparate ortodontice. Este o procedură importantă pentru menținerea sănătății orale, prevenirea bolilor gingivale și a altor afecțiuni dentare.
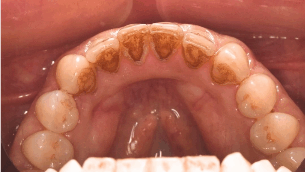
În imaginea de mai jos putem observa depozite de tartru supra / subgingival si coloratia accentuata a dintilor. In aceasta situatie se recomanda efectuarea detartrajului dentar, periajului si al airflowului. O metodă eficientă și minim invazivă, care nu doare, este GBT (GUIDED BIOFILM THERAPY) / EMS. Acesta este cel mai bun concept de igienizare și prevenire dentară din lume, dezvoltat în Elveția.

Cum se realizează și cât durează un detartraj
Fără durere, cu tehnologii moderne pentru confortul pacienților noștri:
- Detartraj cu Ultrasunete: ultrasunetele emit vibrații de înaltă frecvență care sparg și îndepărtează tartrul, urmate de clătirea cu apă pentru a îndepărta resturile.
- EMS (GBT): confort excepțional pentru pacient și eficiență îmbunătățită cu noua aparatură.
Detartraj-airflow poate dura între 30 și 60 de minute, în funcție de cantitatea de tartru dentar și de starea generală a sănătății gingiilor.
Un detartraj în București se poate realiza la una dintre clinicile Qmed din sector 4 (Qmed Brâncoveanu, Qmed Reșița sau Qmed Radiologie). Vă puteți programa la AICI!
Ce să nu faci după detartraj?
Întrebare multor pacienți după ce realizarea o igienizare dentara este: pot mânca după detartraj?
Încercați să:
- Evitați să mâncați timp de 30 de minute. Este bine să nu consumați alimente colorate, acidulate, foarte reci sau calde imediat după igienizarea dentară. Acest lucru ajută gingiile să se calmeze și previne iritația.
- Nu beți cafea, ceai sau vin roșu timp de 24 de ore: Aceste băuturi pot păta dinții, iar după igienizare, dinții sunt mai susceptibili la pete.
- Evitați fumatul timp de 24 de ore: Fumatul poate irita gingiile și poate încetini procesul de vindecare.
- Nu consumați alimente și băuturi foarte reci sau foarte fierbinți. După procedura de igienizare, dinții pot deveni mai sensibili. Alimentele și băuturile cu temperaturi extreme pot provoca disconfort.
Recomandări de respectat post-procedură timp de 6 luni:
Pentru a vă asigura că vă mențineți sănătatea orală după detartraj, prevenind astfel bolile dinților:
- Mențineți o igienă orală bună: Periați-vă dinții de două ori pe zi, dimineața și seara. Folosiți ața dentară în fiecare zi, înainte de periajul dentar, pentru a îndepărta placa bacteriană.
- Utilizați apă de gură antibacteriană: Aceasta poate ajuta la reducerea bacteriilor din cavitatea bucală și la prevenirea formării plăcii bacteriene. Dar în primul rând diluați apa.
- Programați vizite regulate la stomatolog. Detartrajul trebuie făcut la fiecare 6 luni. Totuși, frecvența poate varia. Aceasta depinde de recomandările stomatologului și de sănătatea orală.
La cât timp se face detartraj?
Frecvența procedurii depinde de starea sănătății orale a fiecărui pacient. În general, aceasta se efectuează la fiecare 6 luni. Cu toate acestea, pacienții cu probleme parodontale (boala parodontala) sau care acumulează mult tartru pot avea nevoie de igienizare mai des. Aceasta se face conform recomandărilor stomatologului sau ale medicului specialist în parodontologie.
Nu uitați, detartrajul previne bolile dinților!
Beneficiile detartrajului dentar
- Prevenirea bolilor parodontale: Detartrajul ajută la prevenirea gingivitei și a parodontitei, prin îndepărtarea plăcii bacteriene și a tartrului.
- Îmbunătățirea sănătății gingivale: Procedura reduce inflamația gingiilor și riscul de infecții.
- Respirație mai proaspătă: Îndepărtarea tartrului și a plăcii bacteriene contribuie la reducerea halitozei (respirație urât mirositoare).
- Îmbunătățirea Esteticii Dentare: Dinții sunt mai curați și par mai albi după detartraj.
Imagini detartraj inainte si dupa

Efectele Adverse Posibile
Unele persoane pot experimenta efecte secundare temporare:
- Sensibilitatea dentara: Unii pacienți pot resimți sensibilitate la alimente și băuturi reci sau calde. În această situatie putem folosi produse desensibilizante, ape de gura sau geluri, cu o concentratie mare de fluor.
- Disconfort gingival: Gingiile sunt inflamate din cauza tartrului. Îndepărtarea tartrului prin detartraj nu vindecă imediat. Vindecarea durează câteva zile.
- Acest proces este ajutat de apele antimicrobiene. Se poate folosi apă de gură sau gel cu clorhexidină (0,12% / 0,2%). Acestea se pot folosi doar timp de două săptămâni. Acest lucru ajută la prevenirea efectelor adverse ale clorhexidinei.
Pret detartraj dentar
Trebuie să înțelegem că e nevoie de detartrajul periodic pentru că acesta previne bolile dinților. De aceea, în clinicile Qmed încurajăm prevenția prin igienizare periodică pentru a evita afecțiuni orale posibile. Dar știm că prețul procedurilor este important pentru tine. De aceea, am creat pachete și acțiuni care să te ajute.
- Programul de recall la 6 luni. Poți afla prețul sunând la 021 9622.
- Abonamente dentare. Poți găsi mai multe informații AICI!
Avem grijă să n-ai grijă!
Articol revizuit de dr. Georgiana Dragomir – medic specialist parodontolog din clinica Qmed Radiologie (București, sector 4).